Spoveď Slovenky vás rozplače: Môj otec zomiera a odmietajú mi ho dať aspoň k...
Neuveriteľne smutný príbeh sa prednedávnom objavil na známej facebookovej stránke Nekŕmte nás odpadom. Slovenka v ňom opisuje príbeh jej ťažko chorého otca. Po prečítaní...
Domáci pôrod dopadol tragicky. Zasahujúci záchranár prosí mamičky: Nerobte to!
Trend domácich pôrodov pomaly získava na obľube. Ponechajme však bokom dôvody, prečo k nemu ľudia inklinujú, a venujme sa rizikám. Tie totiž nemusia byť...
Dôležitá správa pre pacientov: Tento LIEK a VÝROBOK sa sťahuje z trhu !
Štátny ústav pre kontrolu liečiv (ŠÚKL) zverejnil pred pár dňami varovanie pred liekom, ktorý bol inšpektormi určený na stiahnutie z trhu.
Ak užívate predmetnú účinnú...
Žena priložila zapaľovač k ryži a zistila niečo čo ju najprv šokovalo! Odteraz to...
Čína je najväčším producentom ryže na svete, aj keď všetci vieme, že jedlo čínskeho pôvodu je často kontaminované. Veľa sa hovorí o šokujúcom miešaní...
10 ZLOZVYKOV, ktoré vám bránia v chudnutí! Prestaňte s nimi a kilá pôjdu dole.
Pre zdravý životný štýl sa ľudia nerozhodujú len kvôli dosiahnutiu dobrej postavy, ale aj kvôli tomu, aby sa cítili dobre a plní energie.
Samozrejme...
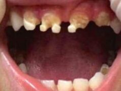
Takto vyzerajú zuby 3-ročného chlapca. Budete sa diviť, čo mu jeho matka dávala na...
Všetci vieme, že zdravie našich zubov je dôležité. Ale niečo vedieť a dodržiavať to, nie je tá rovnaká vec. A čo je ešte dôležitejšie?...
Slováci, POZOR! Ďalší obchodný reťazec sťahuje z predaja nebezpečné cestoviny. Nemáte ich doma?
Azda nikto by zámerne nejedol plesnivé ovocie či pečivo. Stať sa však môže - často i bez toho, aby sme si to uvedomili.
Plesnivé kúsky...
Prestaňte štekliť svoje deti! Prečo to škodí a čo im hrozí?
Šteklenie považuje veľa rodičov za super zábavu, pri ktorej sa dieťa smeje, až skoro nemôže dýchať. A rodičia pokračujú, pretože sa domnievajú, že sa...
POZOR! Z trhu sťahujú známy liek na krvný tlak a cukrovku!
Štátny ústav pre kontrolu liečiv vydal oznámenie o stiahnutí známeho lieku na vysoký krvný tlak, na liečbu po infarkte a zároveň určeného pre pacientov...
Vypite túto zmes predtým ako pôjdete spať a vyčistíte vaše črevá od všetkého čo...
V tomto článku Vám predstavíme zmes, ktorá vám poskytne trojitý zdravotný účinok, ako je: posilnenie vášho metabolizmu, detoxikácia telesného systému a strata hmotnosti v...














